
Invisalign
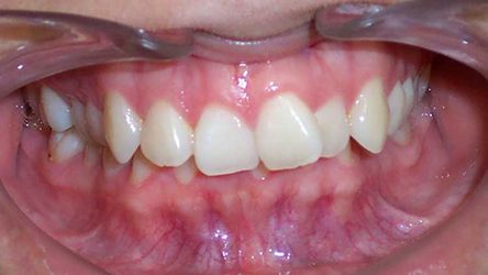
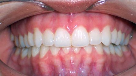
Crooked or gapped teeth can cause you to hide your smile and lose confidence in your appearance.
Invisalign® can discreetly shift your teeth into proper alignment to correct minor smile imperfections and enhance your self-esteem.
The team at DeMille MacKay Dental offer this modern orthodontic solution at our West Valley City, UT, practice.
Hate the Thought of Braces? Contact Us To Learn About Invisalign
/
Invisalign treatment uses custom-made clear aligners to shift your teeth into alignment. Unlike traditional braces that use bulky wires and brackets, the smooth plastic of these aligners is virtually undetectable in your mouth. Contact our West Valley City practice to learn more about this custom treatment.
A Closer Look At Clear Aligners and How They Can Discreetly Straighten Your Teeth
Is Invisalign Right for You?
Most patients with minor to moderate misalignment issues make good candidates for Invisalign treatment. However, there are a few factors our dentists will consider during your consultation.
Below are the characteristics of ideal Invisalign candidates.

Good Oral Health
A healthy smile is the foundation for successful treatment with Invisalign. Oral health issues like gum disease or tooth decay will need to be addressed before you can begin Invisalign.

Minor to Moderate Misalignment
Invisalign works best for mild to moderate cases of dental misalignment. Patients with severe misalignment issues may benefit from braces or another orthodontic treatment instead.

Committed to Treatment
You must wear your clear aligners for at least 22 hours a day to enjoy the best results. Patients who want to undergo treatment with Invisalign need to be committed to maintaining this schedule.
We Offer Invisalign Attachments for Patients With More Serious Misalignment
SmartForce® attachments are small tooth-colored additions that adhere to your teeth to help your aligners exert extra force. By providing additional pressure, SmartForce attachments can help correct misalignment issues that Invisalign alone cannot, which allows more patients to choose clear aligners over traditional braces.
In cases of severe misalignment that cannot be treated even with Invisalign attachments, we can either fit you with braces at our West Valley City practice or refer you to a trusted orthodontist while still remaining active in your treatment plan.
Are You a Good Invisalign Candidate? Contact Our West Valley City Practice To Find Out
Meeting with one of our dentists is the only way to know for sure if Invisalign is the best form of orthodontics for you. During your consultation, they will assess your oral health and aesthetic goals to determine if Invisalign can create your dream results.
Our dentists are deeply experienced in creating customized Invisalign treatment plans. They have helped many patients just like you achieve straighter, healthier smiles with Invisalign aligners.
Contact our West Valley City, UT, practice to request your Invisalign appointment.
(801) 969-3025

"We truly love this place!" We Create 5-Star Experiences
These guys are simply the best dental practice I have ever been to. My family has been here several times and had nothing but exceptional service each time. If you are looking for experienced quality work with the most current equipment and methods, this is the place.
View on GoogleMy daughter and I have been so happy with our results with Invisalign and we have Dr. DeMille to thank for it! The office is beautiful and the staff is so friendly and helpful. We truly love this place!
View on GoogleSubtle Methods Create Stunning Results
The Invisalign Treatment Process
If you have crooked or crowded teeth, Invisalign can be a comfortable and convenient alternative to traditional braces.
Ready for improved appearance and oral health?
Tips for Invisalign Patients Keep Your Mouth and Aligners Clean

Brush and Floss Regularly
Continue to brush your teeth twice daily and floss once daily to keep your teeth and gums healthy.

Clean Your Aligners Frequently
Clean your aligners every time you brush and floss your teeth. The best way to keep your aligners clean is by using a soft-bristled toothbrush and mild soap.

Avoid Extreme Temperatures
Avoid using very hot or very cold water when cleaning your Invisalign aligners. Extreme temperatures can warp the plastic and affect your treatment timeline.

Rinse Your Mouth After Eating
Aligners are worn 22 hours a day, you don't want food particles or the remnants of sugary drinks to sit on your teeth that entire time. Rinse your mouth after eating or drinking anything besides water before reinserting your aligners.

Keep Your Aligners Safe
Unlike traditional orthodontics, Invisalign trays are removable. Keep this convenience from becoming a hassle by making sure you put them in a safe place where they cannot be lost or damaged.
I've Lost My Aligners What Do I Do?
/
Call us. Invisalign works best if you stick to a strict treatment schedule. Lost or damaged aligners can cause a delay in treatment. Contact our West Valley City office so we can work on replacing your aligners and help you follow your original treatment plan.
"I’ll never go anywhere else!" Our Quality of Care Creates Life-Long Patients
I’ve been to many dentists during my life but I’ll never go anywhere else! He is honest, very professional, kind and caring, respectful, and does an excellent job! His staff is also very kind and professional. In the past 5 years going to him I’ve never had a negative experience, they have all been amazing.
View on GoogleMy family and I have been well taken care of by everyone every time we have visited the office. Not only is Dr Demille excellent at what he does but he is genuine, honest, and caring person. He is great with all my kids and they love going to see him. I will never go anywhere else.
View on Google





